這些噁爆的寄生蟲「對人腦有著高度的興趣」,牠成功鑽進去人體的後果光看例子就要喊媽媽了!
2017年04月01日世界上有很多寄生蟲,有些無傷大雅,有些卻能致命。下面就是一些不常見,但真實存在的可怕寄生蟲,不小心被牠們纏上,真的要擔心自己的小命。
▼1.麥地那龍線蟲(Dracunculus medinensis),又名幾內亞線蟲病。

▼這種寄生蟲的幼蟲生活在不乾淨的水源裡,被人們喝下肚後,大概過一年才會慢慢孵化。最後牠們會長成1公尺左右,像白麵條一樣的成蟲,還會在四肢的皮膚下鑽動,超級疼痛。想要將牠們取出來沒什麼好辦法,只能活生生抽取。

▼2.蟠尾絲蟲(Onchocerca volvulus)。

▼這種寄生蟲活躍在非洲中西部的河岸區。被黑蠅叮咬的話,蟠尾絲蟲就可能藉著觸鬚進入人體。牠們會引發嚴重的發炎反應,導致皮下組織異常腫大。除此之外,牠們還會在眼角膜表面遊走,重複發炎結痂的話會導致「河盲症」,讓人永久失明。

▼3.惡魔線蟲(Halicephalobus mephisto)。

▼這種可怕的寄生蟲生活在地下數公里的地方,是迄今為止發現的生存最深度的動物。牠們會寄生在人體和馬匹上,最愛鑽的地方就是人類的大腦。被牠們纏上的話,會引發致命率99%的急性腦炎。

▼4.福氏耐格里變形蟲(Naegleria fowleri),又被稱為食腦菌、食腦變形蟲。

▼這種寄生蟲生存範圍廣泛,幾乎全球的淡水水域都能找到牠們的身影。人們游泳時,牠們會沿著鼻子進入大腦,然後以大腦為食。一旦被這種寄生蟲入侵到腦部,沒有任何治療的方法,致命率高達99%。

在顯微鏡下,牠看起來就像一個「笑臉」,所以也被稱為「死亡微笑」。不要以為這種寄生蟲距離我們很遙遠,2011年時,一名75歲阿公因為泡溫泉被感染,發病25天後離開了世界。
▼5.豬肉絛蟲(Taenia solium)。

▼這是一種很常見的寄生蟲,存在於沒有煮熟的豬肉內。牠雌雄同體,大概有7到13個子宮,150到200個睪丸,進入人體後會拼命繁殖。如果絛蟲卵囊進入腦部,成蟲會到處鑽孔,引發癲癇、失心瘋等可怕的症狀。

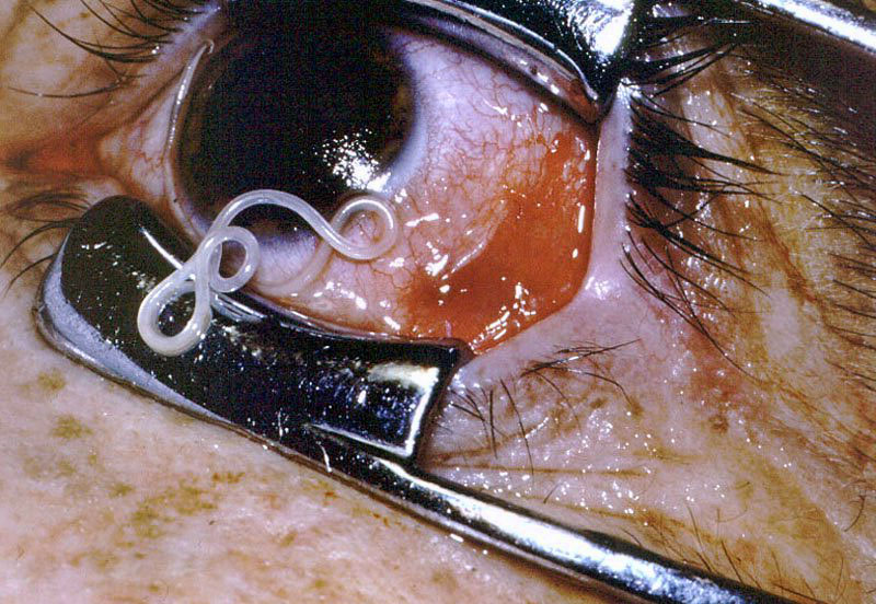
▼6.羅阿羅阿絲蟲(Loa loa)。

▼牠們首先會寄生在斑虻上,斑虻吸食人體血液時,牠們就會順勢進入人體。這種寄生蟲超愛人類的眼球,蛻皮2次後就會跑到眼球上,等到眼球被感染壞死,牠們就會跑到腦部。

▼這些寄生蟲真是超噁心!

寄生蟲比我們想像中要常見的多,雖然牠們很可怕,但只要多注意,也不容易被感染。現在好想去醫院檢查一下,萬一有不知名的蟲子在體內寄生的話,真是太可怕了!